来源:果壳网
2020 年伊始,新型冠状病毒肺炎(COVID-19)的魔爪已经伸向全球多个国家 / 地区,拉响了全球医疗系统的警钟,打乱几乎所有人的计划,甚至给一些家庭带去不幸。截至 2020 年 3 月 1 日 24 时,我国已累计有确诊病例 80026 例,累计死亡 2912 例 。
这些逝去的不是冷冰冰的数字,而是一个个曾经鲜活的生命。
2020 年 2 月 16 日,全国首批因新冠肺炎逝世患者的尸体检验工作在武汉完成,曾参与 SARS 病例解剖工作的法医病理学专家刘良教授团队与相关专家共同承担了尸体解剖检验工作。此前,已有不少病理学家、法医在积极呼吁进行新冠肺炎病例尸体检验,以期加深对此病的理解。
为什么要做病理学尸体检验
如果把人体比喻成一部手机,医生可以根据手机的反常表现推断内部哪里出错。
手机掉电特别快(我最近爬楼容易累)。
可能电池出了问题(可能心脏要检查一下)。
但要观察零部件的具体受损情况,就要借助病理学检验直视手机内部。
你看你这电池都涨包了(这心肌肥厚很严重啊)。
不是有各种检测手段辅助医生进行诊断吗?是的,比如患者的肺部 CT 检查发现毛玻璃样阴影,可以帮助判断其是否患有肺炎。但为什么出现毛玻璃影?肺里面究竟发生了什么?病理学检验能帮助回答这些问题。
病理学是为了阐明疾病的本质,研究疾病的原因、发生发展以及机体在疾病过程中的改变,并与临床上观察到的症状、体征、病程变化相联系,以帮助临床医生了解疾病,调整治疗方案,有的放矢。教科书上没有一种疾病的 " 病理学改变 " 一栏是空的,而病理医生也被誉为 "医生的医生" (doctor ’ s doctor)。
临床患者的病理学取样受限于手术部位和手术方式,因此对于疾病的病理学改变,死后检验就显得重要。
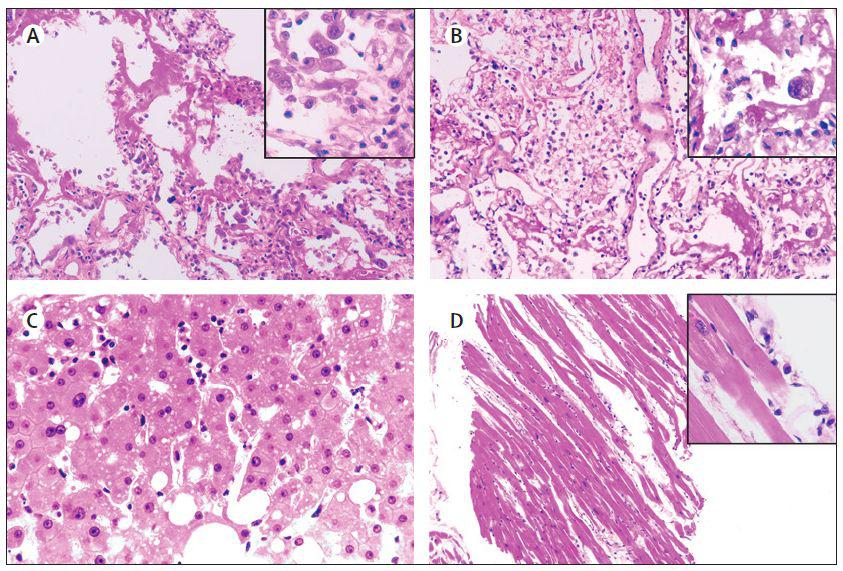
在《柳叶刀》(The Lancet)发表的一例病理报道,使用死后活检方法(post-mortem biopsy,即死后穿刺提取器官样本进行检验)得到了COVID-19 死亡病例的肺、肝及心肌样本并做检验 [ 2 ] 。这种方法的优点是可以降低传染风险,对硬件要求可以不那么严格,可惜也有短板,即无法提取所有重要器官的检材,也不能全面细致地观察器官大体病变,更有可能在提取样本时漏掉有价值的病变部位样本。

COVID-19 患者死后活检显微镜下所见,A-D 分别为右肺、左肺、肝、心肌 | 参考文献 [ 2 ]
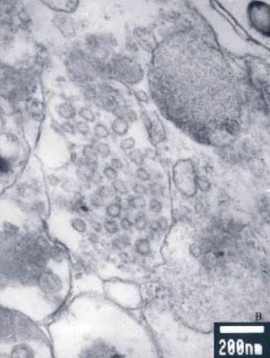
更为常见的死后检验方式是尸体解剖检验,也是病理学的基本研究方法之一,相比于死后活检,可以从宏观(人体)到微观(细胞),全面系统地观察人体器官的变化。就像拆开手机,抽丝剥茧地仔细检查每一处零部件,探究哪里坏了,怎么坏的,提示今后再遇到这种问题应该怎么修。得益于对 SARS 死者进行的尸体检验,人们从大体到组织层面直接观察到了肺等重要器官的病理改变,借助电镜检测揭示了冠状病毒的真实面目 [ 3 ] ,并通过在肠道等处检出 SARS 病毒阳性,为 SARS 的传播途径提供了证据,其后提出的 " 细胞因子失调 ",也对治疗方案具有指导意义 [ 4 ] 。(SARS 病理学发现,详见《新冠肺炎死者尸检,可以揭示关于疾病的重要信息》)

肺切片电镜下观察到的冠状病毒颗粒 | 参考文献 [ 3 ]
谁来进行尸体解剖检验
病理学检验,通常是医学院校病理学系以及医院病理科的专长,但站在解剖台旁且尸体解剖检验经验更成熟的,更多时候是法医。具体而言,是法医病理学工作者。

没错,就像我老婆十元妹子说的 " 法医学是为未来而存在的工作 " | 《非正常死亡》剧照
在我国要成为一名法医病理学工作者,需要掌握基础医学、临床医学、法医学等理论知识,接受专业培训,进行检验操作,积累实践经验,通过资格考试,最快只需十年,就能进行尸体检验并出具鉴定意见书啦。

解剖、生理、组胚、病理、生化、内、外、妇、儿、耳鼻咽喉、法医病理、法医临床、法医物证 …… | 作者制图
面对 COVID-19 死亡病例,意味着直接暴露在高浓度病毒面前,但为了解这一全新疾病的病理机制,给治疗方案提供线索,向药物研发提供资料,法医也将当仁不让,进行尸体解剖检验,向病毒讨说法。
那我们赶紧开始吧
取得了资质,法医就可以随时上阵了吗?不行!除了获得亲属的同意外,也要遵循法律法规的相关规定,由办案单位委托取得相应资格的机构和法医病理学工作者进行死者的尸检工作。而对于 SARS、COVID-19 这类传染病的尸体检验,还需要依据《中华人民共和国传染病防治法》等相关规定,获得国家卫生健康委员会等部门的许可。
尸检过程的生物安全保护尤为重要。类似医院的手术室,解剖室对设施、设备等硬件也有相应要求,尤其对于包括 SARS、艾滋病等传染病的尸体检验,解剖室的通气、污水处理系统以及细致的消毒工作更应得到注意,如果能在具有生物安全保护的实验室内进行尸检无疑是更理想的[ 5 ] 。

具有生物安全保护 3 级(BSL-3)尸体解剖室示意图 | 参考文献 [ 5 ]
除了实验室,检验人员的防护也不能忽视。一般尸体检验时,检验人员会穿戴类似手术衣的防护服、无菌手套、口罩等。而面对 COVID-19 这类传染病的尸体,更需谨慎,除了配备与一线医护人员同款的口罩、防护服、护目镜、面屏等,还要加戴防割手套,避免意外割伤导致经血液感染。此外,使用过的手术器械、耗材、相机、记录纸等物品,也要在尸检结束后进行彻底的消毒灭菌,或集中处理。
要下刀了吗?我忽然手抖
别慌,下刀之前详细了解案情、病史,有助于设计最合适的尸检计划。例如部分 COVID-19 患者出现腹痛、腹泻症状,粪便核酸检测阳性 [ 6 ] ,提示尸检中除了肺,还要注意消化系统。
接下来,在动刀之前,还要进行细致的尸表检查,尸体的外观有时能反应患病情况或提示死因,如畸形体形能反映某些基础疾病,某些毒物中毒死亡会呈现特殊颜色的尸斑等。
终于到了尸体检验极为重要的一环——解剖。与修手机可能有固定的检修步骤不一样,每一例尸体解剖的术式可以不尽相同,但不代表检验者可以不依章法即兴发挥,尸检还是要遵循全面、系统的原则,并做详细客观的拍照、记录。通常需要打开颅腔、胸腔、腹腔,观察是否存在异常(如骨折、积血积液、肺粘连),继而逐一观察体内器官是否有病理学改变,必要时还要进行一些补充检查,或打开脊髓腔、关节腔、骨骼进行检验。
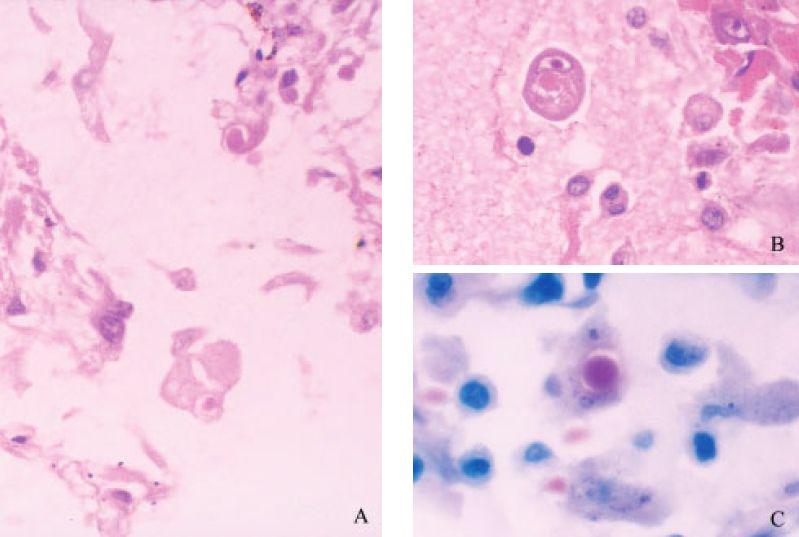
这就结束了么?不不不,远没有,还需要提取体液、器官等生物检材,并根据检验需要进行相应处理以供后续检验。一般病理学检验是将器官组织浸泡在 10% v/v 甲醛溶液(即福尔马林)中 " 固定 ",固定后进行更细致的检验。一名法医可能不知道 " 回 " 字有哪 4 种写法,但一定知道心脏的 4 个腔室长什么样。随后提取器官的部分样本,制作组织学切片,以便在显微镜下观察组织细胞的病理学改变或死后改变。正是对 SARS 死者进行尸体解剖后在显微镜下观察到肺里面的病毒包涵体,从而确证此疾病是由病毒而不是衣原体引起的 [ 7 ] 。

SARS 死者肺内显微镜下检见病毒包涵体 | 参考文献 [ 7 ]
此外,必要时还会对器官、组织或体液进行辅助检验,最终综合所有检验结果进行分析并撰写完整的病理学尸体检验报告。
结语
相比于修手机,尸体解剖检验是更加严肃、复杂的事情,两者最大的不同在于,修手机也许能让你的爱机重获新生,可惜尸体解剖则意味着对遗体的不可复原的破坏,这对于刚遭受重创的亲属可能又是一次打击,因此,那些愿意奉献自己遗体的人们及其亲属,同广大的医务、科研工作者一样,值得我们投以深深的敬意。
写到这里,首例 COVID-19 死亡病例尸体解剖检验的大体检验报告已经发表 [ 10 ] ,病理学检验报告也可期,这些成果将帮助我们不断加深对 COVID-19 的认识,并且指导临床治疗,然而距离药物、疫苗成功研发,乃至完全扑灭疫情,可能还有很长一段路要走,但病理学尸检的发现意味着我们已经迈出了坚实且重要的一步。